Root Canal Treatment (RCT)
Overview of Root Canal Treatment
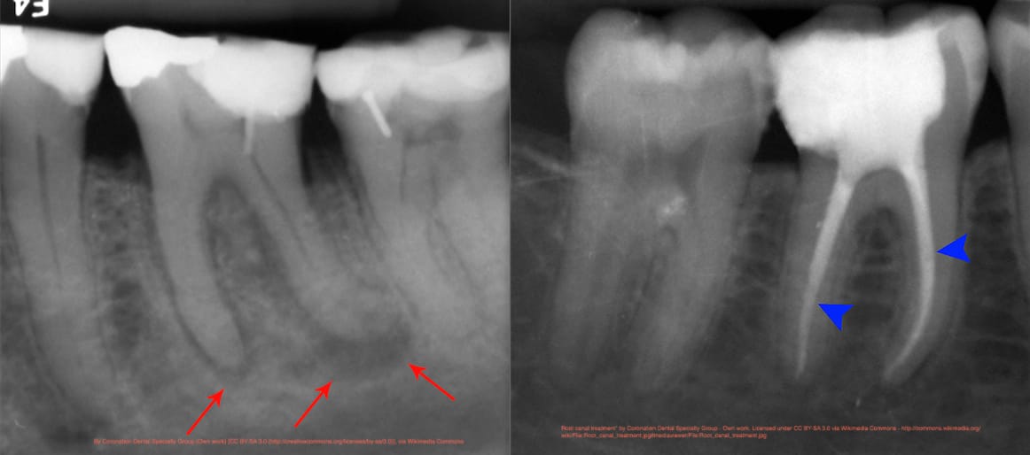
A tooth’s outer portion or Crown consists of a three-layered structure, including Enamel, Dentin, & Pulp. If the tooth decay is limited to the first two layers, it can be corrected with Filling or Restoration. In case the tooth decay reaches the third layer and causes inflammation or infection of the pulp, a Root Canal Treatment (RCT) is needed.
What is Root Canal Treatment?
- Root Canal Treatment (RCT) or Endodontic Treatment, is a dental procedure done when tooth decay reaches the pulp (innermost layer of the tooth), causing inflammation. It is necessary to save the damaged tooth to prevent extraction. An endodontist (Root Canal specialist) performs this procedure. The procedure involves.
Removal of inflamed or infected Tooth Material. - Cleaning and disinfection.
- Fill and seal with an inert material.
- Restoration and crown/cap.
Root Canal Treatment is a multi-step procedure and requires multiple sittings.

WHY DOES ONE NEED TO UNDERGO ROOT CANAL TREATMENT?
Root Canal Treatment (RCT) is done on a damaged or infected tooth. It is essential to get the Root Canal Treatment as
Root Canal Treatment is necessary to remove the infected pulp and alleviate the associated pain
If the infection in the pulp is not treated promptly, it can lead to a dental abscess. An abscess is a pocket of pus that can cause swelling, severe pain, and damage to the surrounding bone. Root Canal therapy helps to eliminate the infection and prevent the abscess from spreading.
Root Canal Treatment becomes necessary when tooth decay progresses to the point where it reaches the pulp. The decayed portion of the tooth is removed, and the canal is cleaned and sealed to prevent further infection.
Persistent and intense toothache, especially when chewing or applying pressure, can indicate a problem with the pulp. Root Canal therapy is often recommended to alleviate pain and save the tooth.
Deep fractures or cracks in the tooth can expose the pulp to bacteria, leading to infection. Root Canal treatment is necessary to remove the damaged pulp and restore the tooth’s structural integrity.

