Kids Dentistry
WHAT IS KIDS DENTISTRY?
Kids are special and so are their oral needs. Pediatric Dentistry aims at tailoring dental services to meet the unique needs of growing children. Specialized dentists treating these tiny humans are known as Pedodontists. They provide comprehensive, gentle care in a warm and welcoming environment.
Kids Dentistry differs from general dentistry in several key ways. But more than treatment or instruments, the technique to guide behavior and reduce anxiety is of prime importance.
The main goals of pediatric dentistry are to track jaw expansion and tooth development, Regular teeth cleanings, early interceptive orthodontics, preventive care, and dental injury management. Pedodontists or Kids Dentist are concerned with your child’s comfort and welfare at all times.


Before & After Picture Gallery
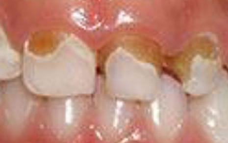
Decayed Front Teeth


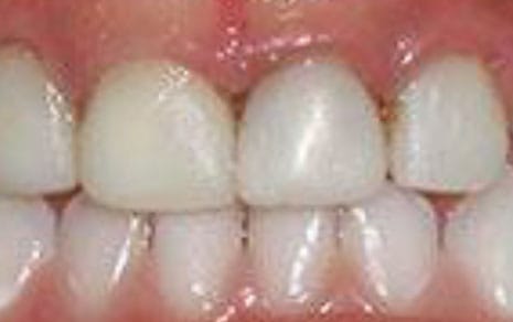
Decayed Teeth filled by Composites


Why is Pediatric Dentistry important?
Humans start teething when they are as young as 6 months old. During the age period from 6 months to 6 years, they develop their set of primary ‘milk’ teeth. By the age of 6-7 years, milk teeth start to fall off and a permanent set of teeth starts to appear in the oral cavity. Milk teeth being temporary, many parents tend to ignore dental visits concerning them. However, they fail to realize the importance of the timeline of milk and permanent teeth in the oral cavity.
Pedodontists (Kids Dentists) ensure proper dental development and long-term oral health.
DEVELOPMENTAL IMPORTANCE
Early dental care and intervention are crucial for a child’s growth and well-being. Pedodontists allow early intervention for misaligned bites or crowding before it progresses. Poor oral health since childhood can impact one’s speech, nutrition, self-esteem, and also social interactions.
LONG TERM BENEFITS
Pediatric dentistry focuses on preventive treatment, achieved via:
- Fluoride treatments
- Sealants
- Oral hygiene education
These aim to minimize the risk of future dental issues. It is easier to develop and incorporate good oral hygiene and dietary habits in a child. Habits formed in early childhood lead to better oral health throughout life. Identifying issues like tongue-ties or thumb-sucking allows timely correction.
Whole milk teeth are temporary, they form the basis of developing permanent teeth. If proper care is not taken, problems can emerge which will last a lifetime. In recent years, cases of caries in children have grown manifold. Therefore, it is always advised to take care of your baby’s teeth in the very early stages. Just following a good oral hygiene routine and planning regular visits to a pedodontist, yield great results in the long run.
